Single-trip thru-tubing sand control system helps revive production
Eilidh McKay, Tendeka
In mature basins such as the UK continental shelf, sand issues account for 8% of all shut-in wells either due to failure of the existing sand screen or onset of sand production due to depletion or water production.1 The control and management of sand issues is an inherent problem in the oil and gas industry whereby effective solutions have been extremely limited due to high cost or poor performance.
There are many reasons for sand or fine material entering and accumulating in the wellbore, and depending on the level of severity, the consequences need not be detrimental. However, continuous sand production can lead to production being killed, wells shut in, or surface equipment becoming damaged and disabled.
The conventional process of thru-tubing sand control can be costly and time consuming. In many cases there is a requirement to remove sand from the wellbore prior to installing the chosen sand control solution. Once installed many traditional remediation techniques still allow the wellbore to refill with formation sand reducing productivity and increasing susceptibility to erosional failure.
Therefore, the major challenge is to regain sand control in existing completions and prevent sand from filling the wellbore, without the requirement to perform a workover or complex thru-tubing gravel packs.
Tendeka has developed Filtrex, a cost-effective, single-trip thru-tubing sand control solution, which eliminates the need to perform a full workover, results in intervention timings being cut in half, and associated run charges reduced by at least 50%.
The remedial system provides the flexibility to be installed in a live well, thru-tubing, through tight nipple restrictions, while offering full compliance to the damaged section once set, controlling sand production and improving well performance. It is the first time a technology of this kind has been able to perform sand clean out during deployment, preventing multiple intervention trips.
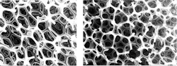
The key to Filtrex is the use of an open cell matrix polymer filter that can be deployed in hole compressed within the running tool and compression sleeve. The high compressibility of the open cell matrix polymer means that the assembly can pass through tubing restrictions and expand into the larger casing/liner configurations. When deployed on coiled tubing the installation of the system is performed over three stages and has the potential to significantly improve the financial feasibility of restoring production to failed wells.
1. The live well deployment system detailed above enables sand clean-out and chemical treatments to be performed as a single-trip process. Upon reaching the zone of interest, integral jetting nozzles can be activated to begin sand clean out and any chemical treatment.
2. Once the clean-out is complete a ball is dropped and pressure applied to activate the high expansion anchor deployed below the Filtrex screen.
3. Once set, the running tool and compression sleeve removal enables the polymer filter to expand and conform to the inner diameter of the casing or failed screen. The filling of the annular gap prevents further ingress of reservoir solids into the wellbore while still allowing passage of liquids or gases. The running tool and compression sleeve is then retrieved from the well.
The length can be modified to suit the application and lubricator length restriction. If longer lengths are required these can be stacked on top the previous screen section.
The open cell matrix polymer encases a length of solid perforated tubing providing mechanical strength and a flow conduit from producing zones below. The multilayer system ensures full expansion in the damaged screen section or casing and effective flow divergence regaining sand control in existing completions.
The system design allows the combination of many distinct layers with a range of cell sizes. This ensures the design has the flexibility to size the screening for each application to ensure appropriate retention of sand in reservoirs up to 110°C (230°F).
As a retrievable thru-tubing system, it is easily deployable by conventional means and self-centralizes once expanded in deviations up to 90˚. This initial configuration is the only product of its kind that can be run through a 3.688-in. nipple and set in a 7-in. liner.
The concept was designed using development principles derived from scrum/sprint development processes, resulting in a system that can:
• Retain formation sands
• Operate in standard well environments up to 110°C
• Enable live well deployment
• Deploy on coiled tubing through 4-1/2-in. completions and set in casing/liners up to 7 in.
• Prevent the wellbore from filling with sand
• Allow comingled production from zones above and below
• Be fully retrievable.
The resultant Filtrex solution brings shut-in wells back to production for improved field economics while also removing the need to choke flow and requirement to carry out a workover, which impacts production, risk, time, and cost. Following extensive testing it is currently being evaluated against multiple applications to develop robust understanding of the system operating envelop and selection criteria.
Due to this technology development, the company has recently invested in a dedicated sand laboratory at its Aberdeen, UK headquarters to develop effective and economical solutions to better manage and control sand problems.
Currently, there is engagement with several operators who are developing bespoke testing programs to qualify Filtrex for specific assets. Beyond the current design, further sizes are planned to be developed and combined with other Tendeka technologies to provide expanded functionality to include inflow control, cross flow prevention, water shut-off and zonal isolation. •
Reference
1. Oil & Gas Authority Wells Insight Report, 2018. 4.4 well management; 4.6 well intervention


